MENU
閉じる
たまプラーザ南口胃腸内科クリニックブログ
Clinic Blog
2026年02月27日

たまプラーザ南口胃腸内科クリニックの久津川です。
今回は、「膵臓がんを早く見つけるための腹部エコー」というお話です。
― 腹部エコー(超音波検査)の重要性 ―
膵臓がんは、進行するまで自覚症状が出にくいがんとして知られています。
そのため「気づいたときには進行していた」というケースが少なくありません。
早期発見が治療成績を左右するがんだからこそ、できるだけ早く見つけることが重要です。
近年、膵臓がんの早期発見において腹部エコー(超音波検査)が有用であるという点が注目されています。
腹部エコーは体への負担が少なく、外来で繰り返し行える検査であり、
膵臓を評価する第一歩としてとても大切な役割を果たします。
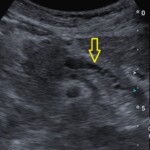
① 腹部エコーで膵臓がんが「直接」見える場合
腹部エコーでは、条件が整えば膵臓の腫瘍そのものを直接確認できることがあります。
特に、体格や腸管ガスの影響が少ない方では、膵臓の形や内部構造が比較的はっきりと描出されます。
膵臓がんは、周囲の正常な膵組織と比べて低エコー(黒っぽく)に見えることが多く、
腫瘤として認識される場合があります。
早期の段階でこのような所見を捉えられれば、次の精密検査へ速やかにつなげることができます。
@膵臓がん

ただし、膵臓は胃や腸の奥に位置する臓器であり、すべての患者さんで常に明瞭に見えるわけではありません。
② 直接見えなくても「間接所見」から気づける場合
腹部エコーの大きな強みは、膵臓がんを直接見えなくても、間接的なサインを捉えられる点にあります。
膵臓癌が膵管を圧迫・閉塞すると、
膵管の拡張など、膵臓の管の変化が起きます。
といった変化が起こります。これらは腹部エコーで比較的見つけやすい所見です。
「膵臓がんそのものははっきり見えないけれど、膵管が太くなっている」といった変化は、
膵臓に何らかの異常がある重要なサインです。
この段階で異常に気づくことが、早期発見につながることがあります。
@膵がん 膵管拡張

腹部エコーで見えにくい場合もある
一方で、膵臓は腹部エコーではどうしても見えづらい臓器であることも事実です。
肥満、腸管ガス、体型などの影響で、十分な情報が得られないこともあります。
そのため、腹部エコーで異常が疑われた場合や、
症状・血液検査などから膵臓疾患が否定できない場合には、
腹部MRIやCT検査を併用することが重要です。
これらの画像検査を組み合わせることで、より正確な評価が可能となり、早期の膵臓がんが見つかることもあります。
まとめ
膵臓がんの早期発見において、腹部エコーは非常に重要な役割を担っています。
・腫瘍を直接確認できる場合
・膵管の変化といった間接所見から気づける場合
このどちらも、腹部エコーならではの利点です。
「症状がないから大丈夫」ではなく、健診や日常診療の中で行われる腹部エコーを大切にし、
必要に応じて追加検査を行うことが、膵臓がんを早く見つける第一歩になります。
気になる症状がある方や、検査結果について不安がある方は、家族歴がある方は
遠慮なく主治医に相談してください。
この記事を書いた人
久津川 誠
医師
国立熊本大学医学部を卒業。 世界消化器内視鏡学会より国際的優良施設として認定されている昭和大学横浜市北部病院で、内視鏡検査に関する高精度な診断・治療、さらには痛みの少ない大腸内視鏡の挿入法などを研究。 2015年より、たまプラーザ南口胃腸内科クリニック勤務。