gototop

先進的な内視鏡検査機器の導⼊

Introduction Of The World’s Latest Equipment

メインビジュアル

世界最新鋭の内視鏡
検査機器の導入

当院は2011年9月に開院し、その当時、最新鋭の内視鏡システムおよび内視鏡スコープをいち早く導入しておりましたが、
2013年2月にオリンパス社製の内視鏡システムおよび内視鏡スコープが世界最新鋭のものに
フルモデルチェンジしたのをきっかけに(前機器の「EVIS LUCERA ELITE」)、
当院でも最先端の内視鏡システムおよび内視鏡スコープに全て切り替えを行っておりました。
2020年7月3日にオリンパス社製の内視鏡システムが「EVIS X1」に約7年半ぶりにフルモデルチェンジされました(前機器の「EVIS
LUCERA ELITE」は2012年11月発売)。
2020年11月に全国の病院・クリニックに先駆けてオリンパス社製の世界最新鋭の内視鏡システム
「EVIS X1」および内視鏡スコープの導入
を決定致しました。

最新鋭の内視鏡システムの
アップデート内容

今回の内視鏡システムのフルモデルチェンジでは

  1. ハイビジョン画質から4K画質へのアップデート
  2. 通常の内視鏡検査にイノベーションを起こす新画像処理機能
  3. 内視鏡手術の新時代を切り開く「新狭帯域光」の搭載

などの新技術が新たにアップデートされ、搭載されています。

最新鋭の内視鏡システムの
メリット

当院では、医師の内視鏡技術の研磨は勿論ですが、最新鋭の内視鏡検査機器や高詳細な内視鏡モニターにもこだわりを持って徹底的に追求するようにしております。
最新鋭の内視鏡システムに切り替えての一番のメリットは、精度の高い内視鏡検査で最も重要となる「内視鏡画質」の明らかな向上です。従来使用していたハイビジョン対応スコープを大幅に上回る「4K画質」の高詳細画像を実現することが可能になりました。微細な病変を見つけることに対して従来の内視鏡システムおよび内視鏡スコープとは精度が明らかに違いますし、経鼻内視鏡の粗い画質とは雲泥の差の高詳細画質を実現することが可能となりました。
これにより、より微細な色調や粘膜の変化のみの早期胃がん・食道がん・大腸がん・大腸ポリープの発見が可能となり、患者さんにとってのメリットがより大きくなった革新的な技術進歩だと思われます。

最新鋭の内視鏡システムで
定期的に検査するのが大切

内視鏡検査機器が古いが故に早期発見できずに、進行した状態で胃がん・大腸がん・食道がんが見つかってしまうと、外科的手術での治療となるため、胃や食道、大腸が切除されて喪失してしまいます。そうなると術後の生活の質が落ちてしまう可能性が高くなり、食事を美味しく食べられなくなってしまう可能性も出てきます。
早期の胃がん・大腸がん・食道がんは症状が出ることがまずないため、最新鋭の内視鏡検査機器での定期的な内視鏡検査がとても大切になってきます。

前機種
ワンタッチコネクターシステム 通常時のイメージ
前機種の「EVIS LUCERA ELITE」ですが、機器が2段構成になっており、なんとなく「モッサリ」とした印象で、一昔前を感じさせます。
前機種
ワンタッチコネクターシステム 暗所時のイメージ
前機種はキーボードで患者さん情報を手入力で入力していましたので、手間がかかるのと打ち間違える可能性がありました。
世界最新鋭機種
ワンタッチコネクターシステム 通常時のイメージ
世界最新鋭の内視鏡システム「EVIS X1」ですが、キーボードがなくなり全てタッチパネルでの対応になりました。1段構成のシンプルな構成となり、ワンタッチコネクターシステムでシステムとスコープが簡単に装着される構成になっています。
世界最新鋭機種
ワンタッチコネクターシステム 暗所時のイメージ
内視鏡モニターも32インチの4K対応の高画質となった最新鋭内視鏡システムとなっております。

最新鋭の内視鏡システム
および内視鏡スコープ
の特徴

特徴
01

ハイビジョン画質をはるかに
上回る「4K画質」

従来のハイビジョン対応スコープを大幅に上回る「4K画質」の高詳細画像を実現することが可能になりました。

ハイビジョン内視鏡の画質をはるかに上回る「4K画質」

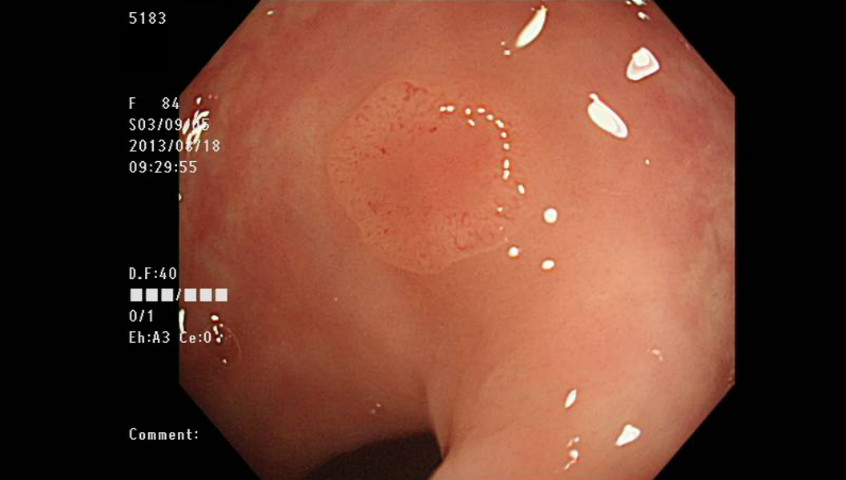
ハイビジョン内視鏡の画質をはるかに上回る「4K画質」での内視鏡検査ではこのような微細な早期胃がんの発見も可能となります

4K対応の32インチ内視鏡専用モニターですが、前機種の26インチからかなり大画面化が実現しており、さらに高詳細に内視鏡画像を映し出すことが可能になりました。

特徴
02

デュアルフォーカスシステム

「通常観察」と「近接拡大観察」の2段階のフォーカス切り替えがボタンひとつで可能な「デュアルフォーカス」機能を搭載しております。微細な粘膜模様やごく微細な毛細血管走行などの近接観察において、ピントが劇的に合わせやすくなり、容易に高精度な画像を得ることが可能となりました。

通常時

通常内視鏡像

将来がん化する可能性の高い大腸腺腫の通常内視鏡像です。

デュアルフォーカス拡大内視鏡

デュアルフォーカス拡大内視鏡画像

通常内視鏡でのデュアルフォーカス拡大内視鏡画像です。 100倍に拡大することにより、微細な粘膜模様がより詳細に映し出され、「がん」であるか否かを瞬時に判断することが可能となります。

NBI

NBI(狭帯域光観察)による観察

NBI(狭帯域光観察)による観察ですが、より粘膜模様が強調されて詳細に観察することが可能となります。

NBI100倍拡大

NBI(狭帯域光観察)でのデュアルフォーカス拡大内視鏡画像

NBI(狭帯域光観察)でのデュアルフォーカス拡大内視鏡画像です。NBIでの観察ではより血管の走行などがはっきり観察することができるため、「がん」であるか否かの事前診断が可能となります。

特徴
03

EDOF(被写界深度拡大)技術の搭載

EDOF(被写界深度拡大)技術は難しい用語ですが、近点と遠点それぞれにピントを合わせた2つの画像を合成することで、広範囲にピントの合った内視鏡画像を自動で生成できる新技術です。
特徴2の2段階のフォーカス切り替えがボタンひとつで可能な「デュアルフォーカスシステム」と組み合わせることでより詳細で高精度な内視鏡画像で検査が受けられるようになりました。

デュアルフォーカスシステム

デュアルフォーカスシステム

特徴
04

TXI(TeXture and color
enhancement Imaging)

TXIは内視鏡先端の通常の光の情報に基づき

  1. 明るさ補正:暗い部分をより明るくする機能
  2. テクスチャー強調:わずかな粘膜模様の変化を捉えやすくする機能
  3. 色調強調:わずかな粘膜の色調の変化を捉えやすくする機能の3つの要素を最適化する画像技術です。

暗い部分をより明るくし、画像上のわずかな粘膜模様の変化や色調の変化を内視鏡できちんと捉えることができるようになります。

TXI(TeXture and color enhancement Imaging)
TXI(TeXture and color enhancement Imaging)
特徴
05

RDI(内視鏡治療の新時代を切り開く新狭帯光)

RDIはRed,Amber,Greenの3食の狭帯域光を使用することで胃や大腸の粘膜の深い部分でより光のコントラスト強調することができる光デジタル技術を用いたオリンパス社独自の新たな画像強調観察技術です。
RDI観察を行うことで大腸ポリープや早期大腸がん、早期胃がんの内視鏡手術時における血管の観察や出血点の観察が容易になり、手術時間の短縮に大きく効果を発揮します。

RDI

RDI

特徴
06

ワイドアングル

先進的な大腸内視鏡スコープでは観察できる視野角が大幅に広がりました。
従来の大腸内視鏡検査の観察できる視野角は140°でありましたが、今回の最新鋭の内視鏡スコープではさらに広範囲を観察できる170°の広視野角を実現することが可能となりました。
従来のスコープから30°視野が広がったことで、より広視野角を実現することが可能となり、さらなる広範囲での観察ができるようになり、狭い観察範囲での死角による見逃しを防止することができるようになりました。
また、ライトガイドを3つ搭載したことで最適な配光を実現することができ、視野の周辺も明るく見えることができるようになり、よりスピーディーな観察が可能となりました。

特徴
07

RIT(Resposive Insertion
Technology)

RITとは「受動弯曲」「高伝達挿入部」「硬度可変」というオリンパスの内視鏡スコープの3つの高度な内視鏡技術の総称です。今回導入した最新鋭の内視鏡システムである「EVIS LUCERA ELITE」では、全ての大腸内視鏡スコープにこのRITを標準搭載しております。
大腸内視鏡検査において、よりスムーズな挿入を可能にし、挿入に伴う苦痛を最大限に軽減することができ、検査効率の大幅な向上に貢献することが可能となりました。

通過をサポートしているイメージ図

高伝達挿入部(HFT)のイメージ図

特徴
08

硬度可変機能の搭載

最新鋭の大腸内視鏡スコープでは、手元の調整リングを回すことにより、 内視鏡術者の要求に合わせて挿入部の硬度を自在に変えることができる機能を搭載しております。

手元の調整リングでの硬度調節のイメージ図
特徴
09

副送水機能の搭載

副送水機能は胃や大腸の壁に付着した粘液や血液を手元のボタンひとつで洗い流すことができるので、観察や処置を中断することなく、クリアな視野を確保することが可能となりました。「EVIS LUCERA ELITE」ではこのような副送水機能の搭載を可能にしております。

副送水システム
オリンパス社製の「副送水システム」の基幹部となる送水タンクです。送水力を9段階に調整することが可能となっておりますので、より詳細な病変観察のための粘液除去などが処置や観察を中断することなく、容易に行えるようになりました。
特徴
10

検査後のお腹の張りをなくす
「炭酸ガス送気システム」

通常の大腸内視鏡検査では「空気」を入れて大腸を膨らませて観察を行うことが多いですが、「空気」は非常に吸収されにくく、検査後にお腹の張りを訴える方が多いと言われています。外科的手術である「腹腔鏡下手術」の際に使用していた「炭酸ガス送気システム」を応用して開発された内視鏡検査用の「炭酸ガス送気システム」という装置がありますが、当クリニックでは、がんセンターでも導入しているこの最先端の「炭酸ガス送気システム」をいち早く取り入れ、検査後のお腹の張りをなくす工夫をしております。

炭酸ガス送気システム

最新鋭の「炭酸ガス送気システム」です。 炭酸ガスは空気より約200倍吸収が早いため、検査中に使用した炭酸ガスは速やかに吸収されてしまいますので、検査後にお腹の張りを感じることはほとんどありません。 そのため、検査後の快適さが明らかに違ってきます。

炭酸ガス送気システム

大腸内視鏡検査で炭酸ガスを使用することにより検査後のお腹の張りがなくなり、軽い鎮静剤を使ってウトウト眠ったままの内視鏡検査から快適に目覚めることができます。内視鏡検査後のお茶菓子でさらにリラックスできます。

特徴
11

大腸ポリープや早期大腸がんを切除する高周波電源システム

大腸ポリープや早期大腸がんを内視鏡的に切除する最新鋭の高周波電源システムです。 凝固と切開の高周波スイッチを組み合わせることによって、出血を的確にコントロールした大腸ポリープや早期大腸がんの内視鏡的切除が可能となりました。

高周波電源システム

最新鋭の高周波電源システムです。切開(黄色)と凝固(青色)を組み合わせたり、使い分けることにより、内視鏡治療の際の出血を的確にコントロールでき、より安全で高度な内視鏡治療が可能となりました。

大腸ポリープや早期大腸がんの内視鏡治療の際に出血をコントロールすることが一番の課題となりますが、高周波電源システムで切開と凝固を使い分けることによりスムーズな内視鏡治療を行っております。

その他 当院の特徴について