gototop

たまプラーザ南口胃腸内科クリニックブログ

Clinic Blog

メインビジュアル

症状ないから大丈夫という勘違い

2025年10月15日

  • 副院長ブログ

たまプラーザ南口胃腸内科クリニックの久津川です。
今回は、「症状ないから大丈夫」
というお話です。

毎日、何十人という方を診療していますが、
いまだに「症状がないので、まだ検査は受けません」という患者さんが多くいます。

当院では、主に胃カメラ(上部内視鏡検査、胃内視鏡検査)や
大腸カメラ(下部内視鏡検査、大腸内視鏡検査)、
腹部超音波検査(腹部エコー)を行っています。

これらの検査で発見できる主ながんは、
食道がん、胃がん
大腸がん、直腸がん
肝臓がん、胆嚢がん、膵臓がん、腎臓がん、膀胱がん
などです。

体の表面にできるがんは、患者さん自身でもわかりやすいのですが、
先ほど述べたようながんは体内にあり、患者さん自身ではわかりません。

しかも、早期がんではほぼ100%症状が出ないので早めの検診や検査が必要になります。
(例外的に直腸の早期がんであれば、血便が出ることはあります)

検診では、胃レントゲン検査や便潜血検査が行われますが、我々は胃カメラや大腸カメラをお勧めしています。

消化器内科医が診る「がん」は、胃カメラや大腸カメラ、腹部エコーで網羅できます。

ぜひ、食道がんや胃がん、大腸がん、
そして肝臓がんや膵臓がん、胆嚢がん、腎臓がん、膀胱がんなどが気になる方は
検査を受けてみてください。

@胃カメラで見つかった早期胃がん

@大腸カメラで見つかった早期大腸がん

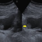
@腹部エコーで見つかった膀胱がん
3分でわかる!苦しくなく痛みに配慮した内視鏡検査(胃カメラ)の特徴
癌にならない腸活 実践メルマガ講座 ヨーグルト 内視鏡チャンネル オウンドメディア

この記事を書いた人

この記事を書いた人

久津川 誠

医師

国立熊本大学医学部を卒業。 世界消化器内視鏡学会より国際的優良施設として認定されている昭和大学横浜市北部病院で、内視鏡検査に関する高精度な診断・治療、さらには痛みの少ない大腸内視鏡の挿入法などを研究。 2015年より、たまプラーザ南口胃腸内科クリニック勤務。

アーカイブ