MENU
閉じる
一般診療
General Practice
目次

便の色や量は毎日きちんと確認していますか?便は腸内環境を的確に反映すると言われており、その色や便の量を毎日自分自身の目で確認することはとても大切なことです。その中でも血便、黒色便(タール便)を放置するととても危険です。
消化器内科を受診して、一度調べてもらいましょう。
血便とは何か? 下血とは何か? 色の違い、原因の違い、必要となる検査などを解説します。
血便は、鮮血つまり赤い血が肛門から出ることを言います。下部消化管(大腸や小腸、主には大腸)からの出血の可能性があります。
下血とは、黒い便(黒色便、タール便)が肛門から出ることを 言います。
上部消化管(食道や胃・十二指腸)からの出血の可能性があります。
医療関係者でもこんがらがって使ってしまっているので
一般の方は使い分ける必要はありません‼

どんな色の便なのか
を伝えていただければ、どのような検査が必要かを判断させていただきます。
また健康診断などで行われる「便潜血(べんせんけつ)検査」は同じ
「せんけつ」といっても、「鮮血」ではなく「潜血」なので、目で見てもわからないようなごくわずかな出血という意味合いで用いられています。目に見えないような極微量の血液でも陽性となります。


かなり大量に出血していると、便が固まる前に排出されるためにどろどろとした便が出ます。
原因となる疾患はいくつもありますが代表的なものを紹介します。
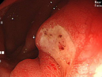
① 大腸がん
進行がんになると出血することがありますが、大量に血が出ることは少ないです。
進行大腸がんです。
血便がきっかけで大腸内視鏡検査を行いました。
血便以外には全く症状がなく、静かに進行していたと考えられます。大学病院で外科的手術後に抗がん剤治療が必要でした。

② 大腸ポリープ
大腸ポリープの場合は、かなり大きくならないと出血しません。
このくらい大きなポリープだと出血することがあります。日帰り内視鏡治療が可能なポリープでした。

③ 潰瘍性大腸炎
炎症性の腸疾患です。
大腸内にびらんや潰瘍ができるため、出血します。
病状によっては大量に出血することがあります。下痢を伴うことが多いと言われています。

④ 痔核
切れ痔やいぼ痔からの出血が多いです。
トイレットペーパーに血がつく、便器の水が真っ赤と訴えられることが多いです。
⑤ アメーバ赤痢
アメーバという原虫の感染で盲腸や直腸に潰瘍ができ、出血します。
盲腸に黄色の粘液を伴う潰瘍を認めます。
生検にてアメーバが検出されました。

⑥ 細菌性腸炎
下痢が主体ですが、腸管出血性大腸菌、カンピロバクターなどの感染では血便が生じることもあります。
⑦ 虚血性腸炎
大腸の虚血(便秘や脱水によって微小血管が詰まってしまう)によって特に下行結腸とS状結腸にびらんや潰瘍ができ出血します。
腹痛→下痢→血便という流れの症状が多いです。
S状結腸にびらんを認め、軽度の出血も認めます。

⑧ 大腸憩室出血
憩室という、大腸のくぼんだところからの出血です。
腹痛などの症状なく、急に血便 が出ます。量が多いため、驚かれる方が多いです。
緊急内視鏡検査が必要になる場合もあります。
憩室が多発していると出血のリスクが高くなります。

⑨ 直腸潰瘍
高齢の寝たきりの方に多いです。
腹痛はなく、突然大量の血便で発症することがあります。
腹痛を伴わない血便で受診されました。直腸に潰瘍を認めました。

① 胃がん
胃にできる悪性腫瘍です。早期のものは出血しませんが、進行するにつれてじわじわと出血することがあります。
胃の半分を胃がんが占拠していました。

② 胃潰瘍
ピロリ菌やNSAIDという痛み止めの使用によって発生します。胃潰瘍が浅い場合は内服で治療が可能ですが、深くなると血管が露出して出血することがあります。
大量の場合は緊急内視鏡検査(胃カメラ)を行い止血術をすることがあります。
痛み止め(NSAID)による胃潰瘍です。真っ黒い便の下血(タール便)を認めました。

③ 十二指腸潰瘍
胃潰瘍と同様の機序で出血することがあります。
十二指腸の入り口にできた十二指腸潰瘍です。軽度の出血を認めました。

ストレスでは基本的には血便、下血にはなりません。
上記のような疾患が隠れていることがあるため、「ストレスだろう」と放置せず胃カメラ・大腸カメラなどの内視鏡検査ができる消化器内科を受診しましょう。
血便の場合、痔だから大丈夫だろうと放置する方がいますが、絶対に放置せず消化器内科を受診するようにしましょう。大腸がん、胃がんなどが隠れている場合があります。
また、特に下血(黒色便)は緊急性があるため、早急に受診しましょう。
上部消化管(食道・胃十二指腸)出血を疑う場合は胃内視鏡検査(胃カメラ)
下部消化管(大腸)出血を疑う場合は大腸内視鏡検査(大腸カメラ)が必要になります。

血便、下血がある方は、最初から内視鏡検査ができる消化器内科を受診しましょう。
医師が緊急性を判断し、適切な検査、治療を行います。

☆3年前から血便があったが放置していました。家族の勧めで当院を受診して、進行大腸がんが見つかった方です。
大腸の半分を占拠する大きな進行大腸がんです。
☆食欲低下、ふらつき、下血(黒色便)があり受診して、出血性胃潰瘍があった方です。緊急内視鏡を行い、止血術をしました。
胃の真ん中付近に胃潰瘍を認めます。黒い露出血管から出血していました。緊急内視鏡検査後に入院となり、輸血も行われました。

当院では、
「苦しさと痛みに配慮した胃大腸内視鏡検査」
を提供することを第一に考えています。そのためにまず、これまで培ってきた内視鏡技術の経験を十分に活かした検査を行っています。
内視鏡を専門とする医師が、臓器のポイント毎にどのような内視鏡操作を行えば苦しさと痛みに配慮した検査になるのかを熟知していますので、安心してお任せください。
そしてみなさま各人に合わせた、最適な量の鎮静剤を考えて検査をしています。多くの経験により検査中の苦しさを軽減し、検査後もしっかりとした目覚め・気分不良がないように配慮しています。みなさまから検査後に「思った以上に楽だった」と思っていただける内視鏡検査を実践しています。
まずはお気軽にご相談ください。


血便・下血がみられる病気はいくつもありますが、「ただの痔からの出血だと自分自身で思い込んでいたが、気になって検査してみたら、実は大腸がんが原因だった・・・」などというケースもあり、自己判断はとても危険です。また血便・下血があるのに放置していると、重大な病気が潜んでいた場合、取り返しのつかないことになってしまいます。自己判断や放置はせず、下記のような気になる症状が出ている方はぜひお早目に消化器内科を受診して、消化器病専門医の診察を受けてください。